enflasyonemeklilikötvdövizakpchpmhp
DOLAR
44,8791
EURO
52,8425
ALTIN
6.919,59
BIST
14.587,93
Adana Adıyaman Afyon Ağrı Aksaray Amasya Ankara Antalya Ardahan Artvin Aydın Balıkesir Bartın Batman Bayburt Bilecik Bingöl Bitlis Bolu Burdur Bursa Çanakkale Çankırı Çorum Denizli Diyarbakır Düzce Edirne Elazığ Erzincan Erzurum Eskişehir Gaziantep Giresun Gümüşhane Hakkari Hatay Iğdır Isparta İstanbul İzmir K.Maraş Karabük Karaman Kars Kastamonu Kayseri Kırıkkale Kırklareli Kırşehir Kilis Kocaeli Konya Kütahya Malatya Manisa Mardin Mersin Muğla Muş Nevşehir Niğde Ordu Osmaniye Rize Sakarya Samsun Siirt Sinop Sivas Şanlıurfa Şırnak Tekirdağ Tokat Trabzon Tunceli Uşak Van Yalova Yozgat Zonguldak
İstanbul
Açık
18°C
İstanbul
18°C
Açık
Salı Çok Bulutlu
20°C
Çarşamba Yağmurlu
11°C
Perşembe Az Bulutlu
14°C
Cuma Parçalı Bulutlu
16°C

Etiket: Pigment

Dövme ve Cilt Lekelerinin Lazer Tedavisinde yeni yaklaşım Dövme renkli pigment maddelerinin derinin iç tabakalarına girerek burada geçici ya da kalıcı olarak yerleşmesidir. Makyaj, medikal, estetik aksesuar, geleneksel amaçlar ile hastanın isteğine ...
13.03.2026
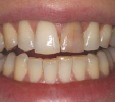
Kanal tedavili dişlerde renklenme, estetik kaygılar nedeniyle klinik pratikte çok önemli bir sorundur. Bu renk değişiklikleri, pulpa dokusunun nekrozu, kullanılan endodontik materyallerin kimyasal etkileri ve dışsal pigmentasyon kaynakları ile ilişkilidir. Pulpa nekrozu sonucunda hemoglobin yıkım ürünleri ve demir bileşenleri dentin tübüllerine infiltre olarak renk değişimlerine yol açar. Ayrıca, kanal tedavisinde...
09.04.2025
Kalıcı Makyaj Sanatkarı ve Master’ı Tuğçe Dönmez kalıcı makyaj hakkında bilinmeyenleri anlattı.
11.01.2024
Vitiligonun seyri nasıldır? Hastalık seyri ve şiddeti kişiye göre değişir; genellikle yavaş ilerler, ilerleme bazen durup tekrar devam edebilir ...
03.04.2022
Vitiligo deriye renk veren pigmentin kaybı ile oluşan beyaz deri lekeleridir. Vücudun herhangi bir yeri tutulabilir, sıklıkla vücut simetrik ...
03.04.2022
Halk arasında Ala hastalığı olarak da bilinen bu rahatsızlığın sebebi deriye renk veren hücrelerin görevini yapamamasıdır. Vitiligo, normal deri ...
03.04.2022
KALICI MAKYAJ -PERMANENT MAKA UP- MİKROPİGMENTASYON (Kişinin kendine yapacağı en güzel armağandır ) Mikropigmentasyon ya da uzun süreli ...
02.04.2022
Vitiligo derinin renk kaybına uğramasıyla oluşan beyaz lekelerle seyreden bir deri hastalığıdır. Deride pigment üreten ve deriye rengini veren ...
01.04.2022