Kanser hem dünyada hem de ülkemizde sebebi bilinen ölümler sıralamasında kardiyovasküler hastalıklardan sonra ikinci ölüm sebebi olması açısından …

Kanser hem dünyada hem de ülkemizde sebebi bilinen ölümler sıralamasında kardiyovasküler hastalıklardan sonra ikinci ölüm sebebi olması açısından önemli bir toplum sağlığı problemidir. Bu yazıda “hematolojik kanserler” olarak bilinen kan, lenf bezi ve kemik iliği kanserlerinin tiplerini, hastalarda oluşturacağı belirti ve bulguları, tanılarının nasıl konduklarını ve tedavilerini özet şekilde gözden geçirmeye çalışacağız.
Kemik iliği kalça ve uyluk kemiği de dâhil olmak üzere bazı kemiklerin merkezinde bulunan süngerimsi bir dokudur. Kemik iliği, vücutta bulunan birçok kan hücresi tipine dönüşen kök hücreleri içerir. Bunlar arasında:
• Vücut boyunca oksijen ve karbondioksit taşıyan kırmızı kan hücreleri (eritrositler=alyuvarlar)
• İnfeksiyonla savaşan beyaz kan hücreleri (akyuvarlar=lökositler)
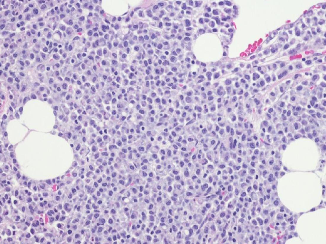
• Kan pıhtılaşmasına yardımcı olan trombositler (pıhtılaşma hücreleri=kan pulcukları) yer alır. Kemik iliğinin normal görünümü Resim 1’de verilmiştir.

Resim 1: Kemik iliği dokusundan alınan biyopsinin mikroskop altındaki görünümü
Vücut genellikle bu kan hücrelerini ihtiyaç olduğunda üretir. Bazen, bu hücreler kontrolsüz bir şekilde, çok hızlı ve anormal olarak çoğalabilir. Bu hastalıklar hematolojik kanserler (kan, kemik iliği ve lenf bezi kanserleri) olarak bilinir.
Bu yazıda hematolojik kanserler olarak bilinen bu hastalıkların tiplerini, hastalarda oluşturacağı belirti ve bulguları, tanılarının hangi testlerle konduğunu ve tedavilerini özet şekilde gözden geçirmeye çalışacağız.
HEMATOLOJİK KANSERLER HANGİLERİDİR?
Hematolojik kanserler etkilenen hücrelerin türüne göre kategorize edilir.
MULTİPL MİYELOM
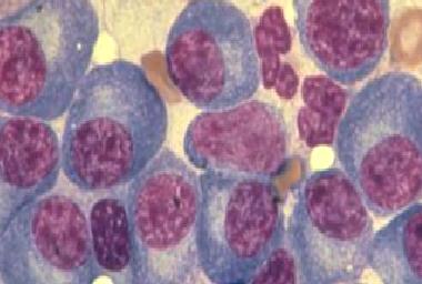
Multipl miyelom, kemik iliğinde yapılan plazma hücreleri adı verilen hücrelerde ortaya çıkan bir kanser türüdür. Plazma hücreleri, bağışıklık sisteminde önemli bir rol oynar ve yabancı mikroplarla savaşmak için gerekli antikorları üretir. Plazma hücreleri anormalleşerek kanser hücresi haline geldiklerinde ve kontrol dışına çıktıklarında, bu hastalığa multipl miyelom adı verilir (Resim 2). Bir tek plazma hücresi kanserleşir, çoğalır ve miyelom hücrelerini oluşturur. Miyelom hücreleri birçok farklı isimle bilinen anormal proteinler (antikor) yapar.

Resim 2: Multiple Myelom hastasının kemik iliğinin mikroskop altındaki görünümü
Bununla birlikte, anormal plazma hücrelerine sahip olan ancak aktif multipl miyelom olarak adlandırılacak kriterleri karşılamayan diğer plazma hücre bozuklukları da vardır. Bu diğer plazma hücre bozuklukları şunlardır:
Belirsiz önemi olan monoklonal gamopati (MGUS)
Smoldering multipl miyelom (SMM)
Soliter plazmasitom
Hafif zincir amiloidozu
Bu hastalıkların her birinin tanı konuş şekli, takibi ve tedavileri farklıdır. Ayrıca belli bir süre sonra miyelom hastalığına dönüşebilirler.
LÖSEMİLER
Kemik iliği vücutta bulunan çeşitli kan hücrelerini yapar. Lösemiler, beyaz kan hücrelerinin kanserleridir. Bazen bu tip kanserler diğer kan hücresi tiplerinden de başlayabilir. Kronik lösemiler yavaş ilerleyen kanserler iken, akut lösemiler hızlı ilerleme gösteren kanserlerdir. Birkaç farklı lösemi türü vardır:
AKUT LÖSEMİLER
• Akut lenfoblastik lösemi (ALL): Bu tip lösemi çocuklarda yetişkinlere göre daha yaygındır. Kemik iliği hücrelerinin kötü huylu bir hastalığıdır. Bu hastalıkta, henüz tam gelişmemiş lenfoid hücrelerin aşırı çoğalması ve iliğin normal hücrelerinin yerini alması söz konusudur. Bu hücreler tüm iliği işgal ettiği için normal kan yapımı bozulur ve hastanın kan değerleri düşer.
• Akut miyeloid lösemi (AML): “Akut miyelositik lösemi”, “akut miyelojenöz lösemi”, “akut granülositik lösemi” ve “akut lenfositik olmayan lösemi” gibi birçok başka isimle de anılır. “Akut” kelimesi, bu löseminin tedavi edilmezse hızlıca ilerleyebileceği ve muhtemelen birkaç ay içinde ölümcül olabileceği anlamına gelir. “Miyeloid”, bu löseminin kemik iliğinde başladığı hücre tipini ifade eder. AML’nin çoğu vakası beyaz kan hücrelerine (lenfositler dışında) dönüşecek hücrelerden gelişir, ancak bazı AML vakaları diğer kan oluşturan hücrelerden de gelişebilir. AML kemik iliğinde başlar fakat çoğu durumda hızla kana geçer. Bazen lenf bezleri, karaciğer, dalak, merkezi sinir sistemi (beyin ve omurilik) ve testisler dâhil vücudun diğer bölgelerine de yayılabilir.
KRONİK LÖSEMİLER
• Kronik lenfositik lösemi (KLL): Akut lösemiler gibi, kan hücrelerinin yapıldığı kemikler içindeki süngerimsi doku olan kemik iliğinin bir kanseridir. KLL’de “kronik” terimi, tipik olarak diğer lösemi tiplerine göre daha yavaş ilerlemmesini anlatmak için kullanılmaktadır. Bu hastalıkta “lenfosit” terimi, kemik iliğindeki etkilenen hücre türünü belirtmektedir. Bu hücreler, vücudun infeksiyonla savaşmasına yardımcı olan lenfositler adı verilen bir grup beyaz kan hücresidir. KLL en yaygın olarak yaşlı yetişkinleri etkiler.
• Kronik miyeloid lösemi (KML): “Kronik miyelojenöz lösemi” olarak da bilinen kronik miyeloid lösemi (KML), kemik iliğinin belirli kan oluşturucu hücrelerinde başlayan bir kanser türüdür. KML’de miyeloid hücrelerin erken (olgunlaşmamış) bir versiyonunda (kırmızı kan hücrelerini, trombositleri ve çoğu tipte beyaz kan hücrelerini (lenfositler hariç) yapan hücreler) genetik bir değişiklik olur. Bu değişiklik, hücreyi KML hücresine dönüştüren BCR-ABL denilen anormal bir gen oluşturur. Lösemi hücreleri büyür ve bölünür, kemik iliğinde birikerek kana geçer. Zamanla, hücreler dalak da dâhil olmak üzere vücudun diğer kısımlarına yerleşebilir. KML oldukça yavaş ilerleyen bir lösemidir, ancak aynı zamanda tedavi edilmesi zor olan hızlı büyüyen akut lösemiye de dönüşebilir. Çoğu KML olgusu erişkinlerde görülür, ancak çok nadiren de çocuklarda görülür.
• Kronik myelomonositik lösemi (KMML): Kememik iliğinin lösemi dışında çoğalması ile karakterize “myeloproliferatif hastalıklar” ile kemik iliği tembelliği olarak bilinen ve lösemiye dönüşme özelliği gösteren “myelodisplastik sendrom” hastalığının ara formu olarak bilinen bir kan kanseri türüdür. Bu nedenle Dünya Sağlık Örgütü (WHO), KMML’yi karışık bir miyelodisplastik / miyeloproliferatif hastalık olarak sınıflandırır. Her yıl 100.000 kişiden yaklaşık üçünde görülür. Genellikle yaşlı yetişkinleri etkiler. Erkeklerde kadınlardan iki kat fazla teşhis edilir. Sadece az sayıda büyük çocuk ve genç yetişkinlerde rapor edilmiştir.
Bu hastalıkta; kök hücrede meydana gelen bir değişim neticesinde, monosit denen bir tür beyaz kan hücresinin normal gelişimi bozulur. Monositler ile birlikte monositleri oluşturan olgunlaşmamış diğer kemik iliği hücreleri (miyeloblastlar ve miyelositler) ilik ve diğer organlarda birikir. Bu birikim sonucunda diğer normal kan hücreleri yapılamaz.
LENFOMALAR
Lenfoma, lenf sisteminin hücrelerinde başlayan kanserdir. Lenf sistemi, vücudun infeksiyon ve hastalıklarla savaşmasına yardımcı olan bağışıklık sisteminin bir parçasıdır. Lenf dokusu tüm vücutta bulunduğundan lenfoma hemen hemen her yerde başlayabilir.

Resim 3: Bir lenfoma hastasının boynundaki büyümüş lenf nodu görüntüsü
Başlıca iki ana lenfoma türü mevcuttur:
1.Hodgkin lenfoma (HL)
2.Non-Hodgkin (Hodgkin Dışı) lenfoma (NHL).
Her iki lenfoma türü hem çocuklarda hem de yetişkinlerde ortaya çıkabilir.
Lenfomanın ne olduğunu anlamak için, vücudun lenf sistemini (lenf sistemi olarak da bilinir) ve ne işe yaradığını bilmek gerekir. Yukarıda da söylediğimiz gibi lenf sistemi, infeksiyonlarla ve diğer bazı hastalıklarla savaşmaya yardım eden bağışıklık sisteminin bir parçasıdır. Lenf sistemi ayrıca sıvıların vücutta hareket etmesine yardımcı olur. Lenf sistemi hücreleri lenfositlerdir.
Lenfositler
Bu hücreler beyaz kan hücreleridir. 2 ana lenfosit tipi vardır:
B lenfositler (B hücreleri): B hücreleri normalde antikor adı verilen proteinleri yaparak vücudun mikroplara (bakteri veya virüslere) karşı korunmasına yardımcı olur. Antikorlar, mikroplara bağlanır, bağışıklık sisteminin diğer bölümleri tarafından imha edilir.
T lenfositler (T hücreleri): Çeşitli T hücre türleri vardır. Bazı T hücreleri vücutta mikropları veya anormal hücreleri yok eder. Diğer T hücreleri, diğer bağışıklık sistemi hücrelerinin aktivitesini artırmaya veya yavaşlatmaya yardımcı olur.
Farklı lenfoma tipleri, olgunlaşmış ya da olgunlaşmamış her bir lenfosit tipinden gelişebilir.
• Non-Hodgkin lenfoma (Hodgkin Dışı Lenfoma, NHL): Lenfositleri etkileyen bir lenfoma türüdür. NHL, herhangi bir lenfosit tipinden gelişebilir, ancak B hücreli lenfomalar, T hücreli lenfomalardan çok daha yaygındır. Bu kanserler vücudun herhangi bir yerinde gelişebilir ve birçok farklı lenfosit tipini etkileyebilir.
NHL nasıl başlar ve yayılır?
Lenf dokusu vücudun birçok yerinde bulunur, bu nedenle bu tip lenfomalar hemen hemen her yerden başlayabilir.

Resim 4: Vücuttaki lenf sistemi
Lenf dokusunun başlıca bulunduğu yerler şunlardır:
Lenf düğümleri: Lenf düğümleri vücudun her yerinde, lenfosit ve diğer bağışıklık sistemi hücrelerinin taşındığı sistemdir. Lenf bezleri lenfatik damar sistemi ile birbirlerine bağlanırlar.
Dalak: Dalak, vücudun sol tarafında alt kaburgaların altında bulunan bir organdır. Dalak lenfositleri ve diğer bağışıklık sistemi hücrelerini yapar. Aynı zamanda sağlıklı kan hücrelerini depolar ve hasar görmüş kan hücrelerini, bakterileri ve hücre atıklarını filtreler.
Kemik iliği: Kemik iliği, belirli kemiklerin içindeki süngerimsi dokudur. Yeni kan hücrelerinin (bazı lenfositler dahil) yapıldığı yer burasıdır.
Timus: Timus, göğüs kemiğinin üst kısmının arkasında ve kalbin önünde küçük bir organdır. T lenfositlerin gelişiminde önemlidir.
Adenoidler ve bademcikler: Bunlar boğazın arka kısmında lenf dokusu koleksiyonlarıdır. Solunan veya yutulan mikroplara karşı antikor üretmeye yardımcı olurlar.
Sindirim sistemi: Mide, bağırsak ve diğer birçok organ da lenf dokusuna sahiptir.
Vücudun farklı bölgelerinde başlayabilen birçok farklı non-Hodgkin lenfoma vardır. Bu durum kişinin sahip olduğu semptomları etkileyebilir.
Non-Hodgkin lenfoma hastalığın alt tipine bağlı olarak farklı oranlarda büyüyebilir ve yayılabilir:
Bazı lenfoma tipleri yavaş büyüme ve yayılma eğilimindedir. Bunlar, “indolent lenfomalar” olarak bilinir. Bu tip lenfomaların hemen tedavi edilmesine gerek olmayabilir, ancak bunun yerine yakından izlenebilir. En sık görülen indolent lenfoma tipi foliküler lenfomadır.
Bazı lenfoma tipleri ise hızla büyür ve yayılır. Bunlar “agresif lenfomalar” olarak bilinir ve genellikle hemen tedavi edilmeleri gerekir. En sık görülen agresif lenfoma tipi diffüz büyük B hücreli lenfomadır (DLBCL).
Bazı lenfoma tipleri, bu kategorilerin hiçbirine düzgün bir şekilde uymaz.
Ne kadar hızlı büyüdüklerine bakılmaksızın, tüm non-Hodgkin lenfomalar tedavi edilmezse lenf sisteminin diğer bölümlerine yayılabilir. Sonuç olarak, bunlar ayrıca karaciğer, beyin veya kemik iliği gibi vücudun diğer bölgelerine de yayılabilirler.
• Hodgkin lenfoma (HL): Erişkin Hodgkin lenfoma, lenf sisteminin malign (kötü huylu) hücrelerinin oluşturduğu bir hastalıktır. İki ana tip Hodgkin lenfoma vardır. Bunlar
1. Klasik HL
2. Nodüler lenfosit baskın HL
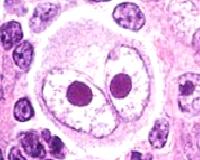
Yaş, cinsiyet ve Epstein-Barr ismini verdiğimiz bir virüsün infeksiyonu erişkin Hodgkin lenfoma riskini etkileyebilir. Erişkin Hodgkin lenfomanın en önemli belirtileri büyümüş lenf bezleri, ateş, gece terlemeleri ve kilo kaybıdır. Lenf nodlarını inceleyen testler, Hodgkin lenfomanın saptanması ve bulunması için kullanılır. Bazı faktörler prognozu (iyileşme şansı) ve tedavi seçeneklerini etkiler. NHL ve HL arasındaki temel fark, çıkarılan lenf bezinin patolojik incelemesinde görülen “Reed-Sternberg hücresi” adı verilen özellikli bir anormal hücre tipinin varlığıdır.

Resim 5: Hodgkin lenfomalı hastanın çıkarılan lenf bezinin mikroskop altında incelenmesinde görülen ve “baykuş gözü” şeklinde tarif edilen “Reed-Stenberg hücresi”
KEMİK İLİĞİ KANSERLERİNİN BELİRTİLERİ NELERDİR?
Kemik iliği ve lenf bezi kanserlerinin belirtileri, vücudun neresinden başladığına, hastalık tipine, alt tipine ve hastalığın agresifliğine bağlı olarak değişebilir.
MULTİPL MİYELOM HASTALIĞINDA ŞU BELİRTİLER GÖRÜLEBİLİR:
• Kemik ağrısı veya kırıkları
• Yorgunluk
• Sık infeksiyon oluşumu
• İdrar sıklığında değişiklikler
• Bilinç değişiklikleri
• Susuzluk hissi
• Mide bulantısı ya da kusma
• Kilo kaybı
LÖSEMİDE ŞU BELİRTİLER GÖRÜLEBİLİR:
• Halsizlik
• Yorgunluk
• Nefes darlığı
• Ateş
• Kemik ağrısı
• Kilo kaybı
• Gece terlemeleri
• Lenf bezlerinde ve dalakta büyüme
• Sık infeksiyonlar
• Ciltte solukluk
• Ciltte morarmamalar
• Küçük yaralardan uzun süreli kanama
• Vücut (özellikle kemiklerde) ağrıları
LENFOMA BELİRTİLERİ LÖSEMİ BELİRTİLERİNE BENZER, ANCAK ŞUNLARI DA İÇEREBİLİR:
• Kalıcı öksürük
• İnatçı kaşıntılar
• Gece terlemeleri
• Yorgunluk
• Ateş
• Alkol tükettikten sonra lenf bezlerinde ağrı
• Lenf bezlerinde ve dalakta büyüme
• İştah kaybı
• Karın ağrısı
• Cilt döküntüleri
Bu belirtileri yaşayan kişiler değerlendirme için derhal doktorlarını görmelidir.
KEMİK İLİĞİ KANSERLERİ NASIL TEŞHİS EDİLİRLER?
Doktorunuz fizik muayene, tıbbi sorular ve kişinin kanına ve kemik iliği hücrelerine bakan testlere dayanarak hematolojik kanser tanısını koyabilir.
Tıbbi Geçmiş
Doktorunuz tarafından tıbbi geçmişiniz sorgulanarak sağlık alışkanlıklarınız, geçmiş hastalıklarınız ve tedavileriniz hakkında bilgi toplanır.
Fizik Muayene
Doktorunuz tarafından genel vücut muayeneniz yapılır. Bu muayene ile fiziksel sağlığınız alışılmadık bulgular veya belirtiler açısından kontrol edilir. Fizik muayene sırasında lenf bezeleriniz, dalak ve karaciğeriniz büyüme olup olmadığı açısından incelenecektir.
Tam Kan Sayımı (CBC)
Bir kan örneği toplanır ve çeşitli parametreleri ölçmek için incelenir:
• Kırmızı kan hücreleri (alyuvarlar), beyaz kan hücreleri (akyuvarlar) ve trombositlerin (pıhtılaşma hücreleri) miktarı
• Alyuvarlara bağlı hemoglobin miktarı
• Hematokrit adı verilen kırmızı kan hücrelerinden oluşan numunenin oranı bu tetkik ile saptanır.
Kan ve İdrar Biyokimya Testleri
Organların ve dokuların kan dolaşımına saldığı belirli maddelerin seviyelerini ölçmek için yapılan bir kan örneği analizidir. Bu maddelerin alışılmadık derecede yüksek veya düşük seviyeleri hastalığın tanısında yardımcı olabilir.
Periferik Kan Yayması
Doktorunuz, kan örneğinizi mikroskop altında kontrol ederek kan hücrelerinin şeklindeki değişiklikleri inceler. Özellikle akut ve kronik lösemi teşhisinde çok önemlidir. Doktorunuz aynı zamanda beyaz kan hücrelerinin miktarını ve türünü ve trombosit sayısını da bu şekilde kontrol eder.
Kemik İliği Aspirasyon ve Biyopsi İşlemi
Kemik iliği aspirasyon ve biyopsi işlemi bazı büyük kemiklerinizde bulunan ve süngerimsi bir doku olan kemik iliğinin toplanması ve incelenmesi için yapılan bir işlemdir. Kan ve kemik iliği kanserleri de dâhil olmak üzere çoğu kan ve ilik hastalığının tanısını koymak ve takip etmek için kullanılır. Kemik iliği biyopsi ve kemik iliği aspirasyonu çoğunlukla aynı zamanda yapılır.
Kemik iliği aspirasyon ve biyopsisi genellikle leğen kemiğinin arka kısmının tepe noktasından alınır. Bu bölgeye işlemde kullanılacak iğne ile girilerek cilt ve cilt altı dokular geçilerek önce kemiğe ulaşılır ve ilerletilerek iğne kemik iliği bölgesine yerleştirilir. Biyopsinizi yapan hematoloji uzmanı veya onkoloji uzmanı iğneye bir enjektör (şırınga) ekleyerek, kemik iliğine ait sıvı kısımdan örnek alır. Aspirasyon yalnızca birkaç dakika sürer. Eğer ilik dokusu gelmediği anlaşılırsa işlem tekrarlanabilir. Hastalığınızın durumundan kaynaklanan nedenlerle bazen kemik iliği sıvısı enjektöre hiç çekilemeyebilir. Bu durumda sadece biyopsi alınır. Kemik iliği biyopsisinde, kemiğin içine girilerek kemik iliği dokusundan örnek alınır. Kemik iliği biyopsisi için daha büyük iğne kullanılır ve bu iğne ile katı kemik iliği dokusundan örneğin yeterli olabilmesi için en az 1.5 cm (1.5- 3.5 cm) bir parça alınır. Aspirasyon gibi biyopsi de ancak birkaç dakika sürer. Her iki örnek daha sonra kemik iliği kanseri hücrelerini aramak ve sağlıklı kan hücrelerini izlemek için mikroskop altında hematolog ve patolog tarafından incelenir.
Sitogenetik Analiz
Kemik iliği örneğiniz alındıktan sonra genetik anormallikleri aramak için doku hücrelerinin mikroskop altında analizi yapılır.
İmmünhistokimya
Kemik iliği hücrelerinin yüzeyindeki belirteçlerin analizidir. Doktorlar, bunları kanser hücrelerinin türünü belirlemek için bağışıklık sisteminin sağlıklı hücreleri ile karşılaştıracaklardır.
Akış sitometrisi
Akış sitometri testi hücre yüzeyi üzerindeki tümör belirteçlerinin boyutu, şekli ve varlığı gibi hücrelerin diğer özelliklerini ortaya koyar. Bu test için hücreler floresan bir boyayla işaretlenir ve bir sıvıya yerleştirilir. Hücrelerden bir ışık demeti geçilerek, ışığın saçılma şekline bakılarak hücrelerin özellikleri tespit edilebilir. Tüm hematolojik kanserlerin tanısında yardımcı bir analizdir.
Bilgisayarlı Tomografi (BT) Taraması
Farklı açılardan belirli vücut bölgelerinde birkaç X-ışını imgesi oluşturmayı içeren bir testtir. Organ ve dokuların daha net görülmesini sağlamak için bazen bir ilaçlı su içirilebilir veya damar yolundan verilebilir. Lenf nodları veya dalağın büyüyüp büyümediğini anlamak için göğüs, karın ve/veya pelvisin bilgisayarlı tomografi taraması yapılabilir.
Gen mutasyonu testi
Kanserli hücrelerdeki genlerde anormallik olup olmadığını aramak için kan veya kemik iliği örneğini inceleyen bir laboratuar testidir. Çeşitli hematolojik kanserlerde hem hastalığının tanısının belirlenmesinde, hastalık seyrinin anlaşılmasında ve tedavinin düzenlenmesinde yardımcı olabilir.
KEMİK İLİĞİ KANSERLERİ NASIL TEDAVİ EDİLİR?
Kemik iliği kanseri tedavisi son derece bireyseldir ve kanserin kapsamı ve kişinin genel sağlığı da dâhil olmak üzere birçok faktöre bağlıdır.
Tedavi, kanseri iyileştirmek, yayılmasını önlemek veya bazen kişinin daha rahat olmasını sağlamak amacı ile yakınmaları en aza indirmek için kullanılabilir.
Artık kan veya kemik iliğinde herhangi bir anormal hücre olmadığında, kişinin “REMİSYON”da olduğu söylenir.
Tedavi türleri kısaca şunlardır:
Kemoterapi:
Kemoterapi, kanser hücrelerini öldürmek veya çoğalmalarını önlemek için verilen ilaçlardır. Birçok farklı kemoterapi tedavisi vardır. Damar içine serumla verilebileceği gibi, hap olarak da ağızdan alınabilir.
Hedefe yönelik tedavi (Akıllı moleküller):
Kanser hücresinin oluşumundan sorumlu genetik ve moleküler mekanizmalara ya da kanser hücresinin üzerindeki o hücreyi tanımlayan kimlik belirteçlerine karşı geliştirilen tedavilerdir. İlacın tipine göre ağızdan hap veya damardan serum şeklinde verilebilirler. Her ilacın kendine özgü etki ve yan etkileri mevcuttur.
Kök hücre nakli
Kök hücre nakli bazı durumlarda bir seçenek olabilir, ancak herkes bu tür bir tedaviye aday değildir. Akut lösemilerde kök hücre nakli, hastalığın risk grubuna bakıldığında kötü risk özellikleri taşıyorsa, kemoterapi sonrası kemik iliği normalleştikten sonra önerilmektedir. Lenfomanın çoğu alt tipinde ancak hastalık tekrarladıktan sonra kök hücre nakli önerilmektedir. Kronik lösemilerde nakil ilk tercih değildir, hastalığın gidişatına göre karar verilir. Nakledilecek kök hücreler damar içine verilmeden önce hastanın mevcut kemik iliğini öldürmek için yüksek dozda kemoterapi verilmesi gerekmektedir.
Radyoterapi (Işın Tedavisi)
Bu tedavi, çoğalmasını önlemek için radyasyonun doğrudan kanser hücrelerine uygulanmasını içerir. Bir hematolojik kanser tanısı konulduktan sonra, hematoloji uzmanı mevcut tüm tedavi seçeneklerini tartışacak ve bir tedavi planı sunacaktır. Tedavi planının, kanserin nasıl tepki verdiğine ve hastalığın ilaca nasıl yanıt verdiğine bağlı olarak, periyodik olarak ayarlanması gerekebilir.
Tedavi sonrası klinik sonuçlar
Kemik iliği kanseri tanısından sonraki durum hastadan hastaya önemli ölçüde değişmektedir. Erken teşhis olan birçok hasta tedaviye iyi yanıt verir ve remisyona girdikten sonra yıllarca kanserden kurtulur.
Bazı durumlarda kanser agresif olabilir ve tedaviye yanıt görülmeyebilir. Ek olarak, hem kanserin kendisi hem de kanser tedavileri, ciddi infeksiyon veya böbrek yetmezliği gibi hayatı tehdit eden komplikasyonlara neden olabilir.
Kanser araştırması sürekli yeni tedaviler ve umut verici ilaçlar geliştirmektedir. Bu hastalıklara yakalanan kişi mevcut farklı tedavi seçenekleri hakkında doktoru veya uzmanıyla konuşmalıdır