enflasyonemeklilikötvdövizakpchpmhp
DOLAR
44,8573
EURO
52,8184
ALTIN
6.966,26
BIST
14.587,93
Adana Adıyaman Afyon Ağrı Aksaray Amasya Ankara Antalya Ardahan Artvin Aydın Balıkesir Bartın Batman Bayburt Bilecik Bingöl Bitlis Bolu Burdur Bursa Çanakkale Çankırı Çorum Denizli Diyarbakır Düzce Edirne Elazığ Erzincan Erzurum Eskişehir Gaziantep Giresun Gümüşhane Hakkari Hatay Iğdır Isparta İstanbul İzmir K.Maraş Karabük Karaman Kars Kastamonu Kayseri Kırıkkale Kırklareli Kırşehir Kilis Kocaeli Konya Kütahya Malatya Manisa Mardin Mersin Muğla Muş Nevşehir Niğde Ordu Osmaniye Rize Sakarya Samsun Siirt Sinop Sivas Şanlıurfa Şırnak Tekirdağ Tokat Trabzon Tunceli Uşak Van Yalova Yozgat Zonguldak
İstanbul
Parçalı Bulutlu
17°C
İstanbul
17°C
Parçalı Bulutlu
Pazartesi Parçalı Bulutlu
18°C
Salı Çok Bulutlu
19°C
Çarşamba Yağmurlu
12°C
Perşembe Parçalı Bulutlu
14°C

Fibroadenom ile Meme Kanseri İlişkisi

Fibroadenom ile Meme Kanseri İlişkisi

Fibroadenom ile Meme Kanseri İlişkisi
24.02.2026
5
A+
A-

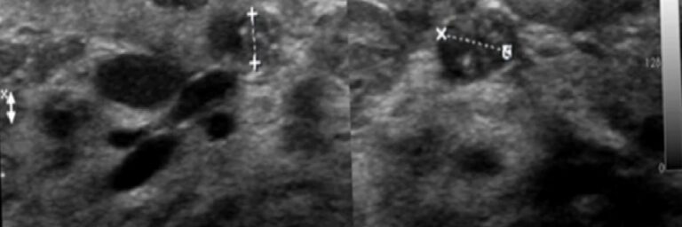
Fibroadenom kadınlarda her yaşta en sık rastladığımız “iyi huylu” meme kitlesidir. Sıklıkla her iki memede ve birden fazla sayıda bulunur. Memede radyolojik olarak “iyi huylu” olduğunu düşündüğümüz “solid” (hücre içerikli) kitlelerin çoğu fibroadenomdur.

Fibroadenomların büyük kısmı zaman içinde (özellikle menopozdan sonra) küçülür, hatta kaybolur. Küçülmeyenlerin çoğu ilk bulunduklarındakine benzer boyutlarda kalır. Sadece çok azı büyümeye devam eder. Fibroadenomların hayat boyu memenizde kalmalarının hiç sakıncası yoktur!

Fibroadenom olduğunu düşündüğümüz bir kitlenin radyolojik takip altındayken büyüyor olması da çıkartılmasını gerektirmez! Çünkü “büyüme” kansere has bir özellik değildir; benign kitleler de büyürler.  Memede bulduğumuz bir kitlenin “şüpheli” olup olmadığına, dolayısıyla biyopsi gerekip gerekmediğine başka kriterlerle karar veririz.

Fibroadenomun kanserle hiç alâkası yoktur! Genellikle söylenenin (sanılanın) aksine kansere dönüşmez ve kansere yakalanma riskinizi arttırmaz! Fibroadenomun ne zaman bulunduğu, boyutu, ele gelip gelmemesi, yaşınız, kendinizde veya ailenizde meme kanseri olup olmaması bu açıdan hiç farklılık yaratmaz. Memenizden çıkartılan kitle “fibroadenom” ise bu sadece “boşu boşuna ameliyat olduğunuz” anlamına gelir!

Fibroadenomların (ve diğer iyi huylu kitlelerin) takip edilmesine gerek var mı?
“Ne olduğu belli, takibe gerek yok”demek yanlış. Ama genellikle gereksiz sıklıkta ve yanlış şekilde takip edildikleri de bir gerçek. Bunun nedenlerine başka makalelerimde değindim. Radyoloğun tanısı kesin olsa bile yılda bir radyolojik muayenelere devam etmelisiniz. Bu muayenelerde esas amacımız “tarama” dır çünkü memenizde “iyi huylu” kitleler olması kanser olmayacağınız anlamına gelmez!

Elbette tarama amaçlı muayenelerimizde daha önceden bildiğimiz kitlelerin durumunu da inceleriz. Bir kitlenin “iyi huylu” olduğundan emin olsak bile “şüpheli” herhangi bir yeni bulgu taşıyıp taşımadığına bakmak zorundayız: kitlenin şeklinde, kenarlarının düzeninde, iç yapısında, damarlanma özelliklerinde ve boyutlarında eskiye göre anlamlı bir farklılık var mı? Bu süreci tek bir radyologla götürmeyi tercih etmeli ve radyoloğunuzu özenle seçmelisiniz çünkü radyologların aynı vakadaki yorumları birbirinden farklı olabilir.

 

Radyoloğun yorum ve önerileri kaderinizi etkiler! Bir fibroadenomda yeni bulgular ortaya çıkması son derece istisnai bir durumdur ama varsa önemli olabilir ve biyopsiyi gerektirebilir. Yine de bu biyopsilerin çoğunda kanser çıkmaz. Fibroadenomların 10.000’de 2′ sinde kanser başlayabilir ama bu ihtimal, memenizin herhangi bir yerinde kanser başlaması ihtimalinden daha yüksek değildir. Üstelik bu kanserin, memenizin başka bir yerindeki yeni bir kanserden fazlası yoktur, genellikle azı vardır. Fibroadenomların içinde başlayan kanseröz değişikliklerin %90’ı in situ lobuler yada in situ duktal tiptedir ve gerçek anlamda kanser bile değildir; sadece kanser gelişimi için “yüksek risk” anlamı taşır. Bu değişiklikler memeden herhangi bir nedenle alınan parçalarda çok sık rastlanan ama sadece mikroskopla görülebilen (elle yada gözle seçilemeyen) “tesadüfi” patolojik bulgulardır. Kanser dışı nedenlerden ölen ve otopsi yapılan kadınların memelerinde bunlara çok sık rastlanır; kısacası önemsizdir! Meme kanseri taramalarınız düzenli ve kaliteliyse ve belli bir meme radyoloğunun takibindeyseniz bu kanserin de en erken evrede (Evre 0 yada1) yakalanması çok kolaydır. Türkiye’de taramalara rağmen meme kanserleri genellikle bu kadar erken evrelerde bulunamamakta, diğer yandan her yıl yüzbinlerce kadın gerçek dışı gerekçelerle gereksiz yere ameliyat edilmektedir.

Sağlığınız size ait ve onu en iyi kendiniz korursunuz. Bilinçlenin! Hakkınızda verilen tıbbi kararları denetlemek yoluyla tıbbi hizmetleri iyileştirmek de sizin elinizde!

(Bu içerik Değişik Platformlar taranarak alıntılanmıştır)

ETİKETLER: , , ,
Yorumlar

Henüz yorum yapılmamış. İlk yorumu yukarıdaki form aracılığıyla siz yapabilirsiniz.