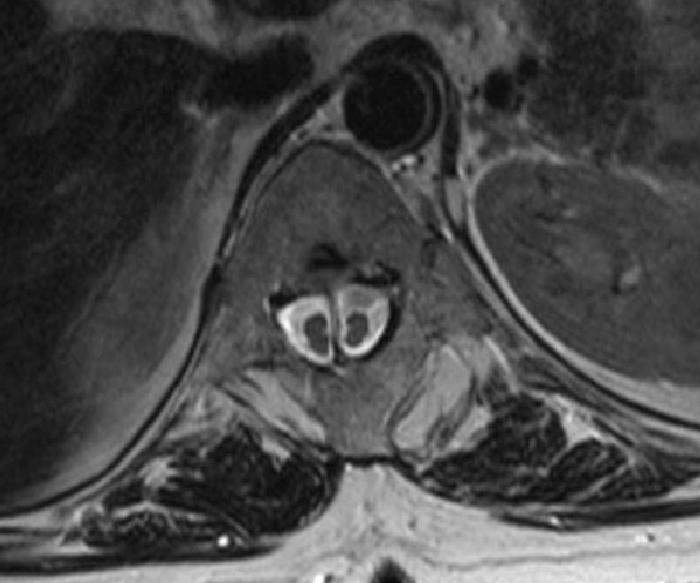
Bifid kord, ayrık omurilik sendromu da denen bu tablo, yani diastematomyeli yarık omurilik anlamına gelir. Genellikle omurga kemiğinin …

Bifid kord, ayrık omurilik sendromu da denen bu tablo, yani diastematomyeli yarık omurilik anlamına gelir. Genellikle omurga kemiğinin ortasındaki kanal içinde uzanan tek bir organ iken, bir kemik yapı veya sert bir zar tarafından omurilik ikiye bölünmüş durumdadır. Bu anomalinin üstü normal bir cilt ile örtülü olduğu için dışarıdan görülmez; ancak çok detaylı radyolojik incelemeler sonucunda ortaya çıkar. Bir çocuğun veya bebeğin sinir sistemi muayenesi sırasında ortaya çıkan bir takım bulgular böyle bir durumdan şüphelenilmesini sağlayabilmekte ise de, bu anomali genellikle daha ileri yaşlarda bir takım ağır egzersizler sırasında veya doğum sırasında ortaya çıkabilen ani felçlerle anlaşılır. Böyle bir durum tespit edildiğinde hastanın deneyimli bir beyin cerrahı tarafından bir an önce ameliyat edilmesi gerekir. Tabii ki günümüzde bu işlem omuriliğin işlevleri ameliyat sırasında izlenmekte iken, yani nöromonitörizasyon altında yapılmaktadır.
Gergin Omurilik Sendromu veya Kalın Filum Terminale adı verilen tablo ise, doğumsal omurga anomalilerinden bir diğeridir. Adı üstünde zaten, bacaklara giden sinirleri taşıyan omuriliğin gergin olması. Peki neden geriliyor bu omurilik, onu kim geriyor? Tabii ki bunun gerilimle veya stresle bir ilgisi yok. Normal bir omuriliğin sonradan gerilmesi de mümkün değil. Aslında bu doğumsal bir anomali. Yani bazı bebeklerin omurilikleri en alt ucunda çevreye yapışık oluyor. Bebeğin kemikleri, sinir sistemi dokusundan çok daha hızlı büyür ve sonuçta; çocuk büyüdüğünde sinir dokusundan oluşan omurilik, kemiklerden oluşan omurilik kanalından çok daha kısa kalır. İşte bazen bebeklik döneminde omuriliğin en alt kısmı o bölgedeki kemik yapılara yapışık, yani “tethered” olabilir; çoğu zaman da bu durumlarda omuriliğin en alt kısmı olan filum terminale, içinde yağ dokusu fazla olduğundan kalındır. Bu çocuklar büyüdükçe omurilik gergin hale gelir ve geceleri yatağa çiş kaçırmaktan tutun felce kadar ilerleyebilen pek çok bulgu ortaya çıkar. Kimi zaman çocukluk çağında konan bu teşhisin konması, bazen gözden kaçırıldığında yetişkin yaşları bulabiliyor. Bu hastalara tanı konulduğunda, bir an önce deneyimli çocuk beyin cerrahi uzmanlarınca bu yapışıklığın giderilmesi veya omuriliğin alt ucunu oluşturan filum terminale’nin kesilmesi gerekmektedir. Tabii ki günümüzde bu işlem de, nöromonitörizasyon altında yapılmaktadır.
Meningosel ise omurgadaki kemiklerin arka kısmının açık olması yani doktorların deyimiyle spina bifida sonucu, omuriliği örten zarların içindeki beyin omurilik sıvısının yani BOS’un bir kese şeklinde ciltte yaptığı kabartıya verilen isimdir. Kimi zaman bu kabartının içinde sinirsel yapılar da olduğunda, doktorlar bu duruma memingomyelosel adını verirler. Bu tablo, doğumsal omurga anomalilerinden biridir ve anne karnında iken veya bebek doğar doğmaz tespit edilir. Genellikle kabartının üstü normal bir cilt ile örtülüdür, ancak böyle bir durum tespit edildiğinde hastanın deneyimli bir beyin cerrahı tarafından detaylı olarak incelenmesi gerekir. Çünkü bu duruma eşlik eden çok daha ciddi bir takım anomaliler olabilir. Eğer kabartının üstü normal bir cilt ile örtülü değil ise, yani kese patlamış ve beyin omurilik sıvısı-BOS dışarı akmakta ise veya patlamak üzere olan incecik bir kese söz konusu ise; bebeğin ameliyat edilmesi gerekebilir.