Optik pit, Wiethe tarafından 1882 yılında tanımlanmış olup, nadir görülen konjenital bir anomalidir. Optik pitin optik fissurün tamamlanmamış …

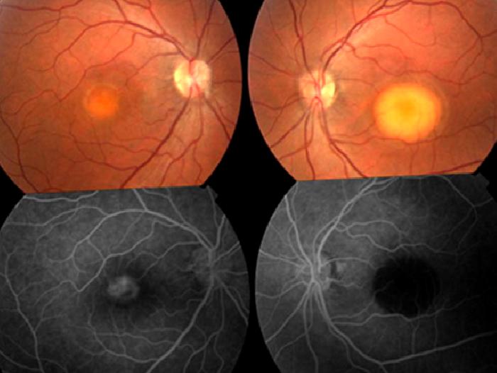
Optik pit, Wiethe tarafından 1882 yılında tanımlanmış olup, nadir görülen konjenital bir anomalidir. Optik pitin optik fissurün tamamlanmamış kapanması nedeniyle olduğu düşünülmektedir. Sıklıkla optik diskin inferotemporal bölgesinde yerleşimlidir. Sıklıkla asemptomatik olup, görmede azalma yapmamaktadır. 11.000 de bir görülen bu anomali %15 oranında bilateral olabilmektedir. Sıklıkla asemptomatik olan bu anomali, maküler ödem, dış retinal katlarda skizis, dış lameller hol, seröz makula dekolmanı gibi makulopati kliniğine yol açarak görme keskinliğinde azalma, santral skotom gibi semptomlara yol açmaktadır (32) (Resim 21).
Optik pitin embriyonal gelişim sırasında optik fissürün inkomplet kapanması sonucu geliştiği düşünülmektedir. Pit alanında retina sinir lifi kaybı da mevcuttur. Optik pit makulopatisinin (OPM) patofizyolojisi henüz tam anlaşılamamakla birlikte pek çok hipotez öne sürülmüştür. Bunlardan biri Brown ve ark. tarafından öne sürülen retina altı sıvının vitröz kaviteden kaynaklandığı varsayımıdır. Diğer bir hipotez retina altı sıvının subaraknoid boşluk aracılığıyla serebrospinal sıvıdan kaynaklandığını öne sürmüştür. OKT ile yapılan çalışmalarda subaraknoid boşluk ile subretinal boşluk arasında direkt bir ilişki olduğu görülmüştür. Retina altı sıvının sızdıran bazı damarlardan kaynaklandığını veya orbital boşluktan kaynaklandığını ileri süren hipotezler de mevcuttur (33).
Tedavi:
Optik pit veya koloboma bağlı gelişen makulopatilerde genellikle benzer tedavi stratejileri uygulanmaktadır. Kabul görmüş tek bir yöntem bulunmamaktadır ve uygulanmakta olan tüm tedaviler tartışmalıdır. Anlatılacak tedavi yöntemleri hem optik pitte hem de optik kolobomda uygulanmakta olan yöntemlerdir.
İlk olarak konservatif gözlem yaklaşımı pek çok merkez tarafından önerilmektedir (34). Gelişen makulopatilerin %25’inin kendiliğinden düzelebildiği istatistiği göz önüne alınırsa ilk başvuruda 3 ay tedavisiz gözlem uygun olmaktadır. Fakat kendiliğinden düzelen seröz makula dekolmanı olgularında son görme keskinliği daha düşük olmaktadır (35).
1969 yılında Gass, optik disk temporal kenarına Xenon lazer fotokoagülasyon uygulayarak optik disk temporal kenarında koryoretinal adezyon sağlayıp pit alanından retina altına sıvı geçişini engelleme fikrini ortaya atmış, fakat uygulamalarında yüz güldürücü sonuçlar alamamıştır (36). Uzun yıllar optik pit/koloboma bağlı makulopatilerde 3 aylık izlemden sonra düzelmeyen hastalarda ilk tedavi olarak Argon lazer fotokoagülasyon uygulanmıştır.
Argon lazer fotokoagülasyon ile birlikte veya tek başına intravitreal gaz verilmesi de uygulanan tedavi metodlarından birisidir. Lincoff ve ark. intravitreal gaz tamponad ile makula altı sıvının yer değiştirmesinin sağlanabileceği ve görme keskinliğinde artış elde edilebileceğini öne sürmüştür (37).
Son yıllarda optik pite bağlı makulopati tedavisinde en sık uygulanan yöntem pars plana vitrektomidir (PPV). PPV’de başarının vitreus alınarak optik pit üzerindeki traksiyonel kuvvetlerin ortadan kaldırılması ile makula altına pasif sıvı geçişini azaltması yoluyla olduğu düşünülmektedir. PPV’deki esas amaç posterior hyaloidin kaldırılmasıdır. Bazı cerrahlar bunu kesinleştirmek için iç limitan membran soyma (ILMP) işlemini de gerçekleştirirler. Post-op dönemde subretinal sıvının çekilmesi için sabırlı davranmak gereklidir, zira sıvının çekilmesi aylar alabilir.
Optik pitten direkt sıvı geçişinin engellenmesi için de çeşitli çalışmalar yapılmıştır. Rosenthal ve ark. optik pit üzerine otolog platelet enjekte ederek koagülasyon faktörlerinin çalışmasını indüklemeyi, bu şekilde optik pitten serebrospinal sıvının geçiş yollarının kapanmasını hedeflemişlerdir. Yayınladıkları vaka raporunda anatomik ve fonksiyonel başarı sağlasalar da henüz uzun dönem sonuçları bilinmemektedir (41).
Travassos ve ark. ise optik pit ağzına alt nazal kadrandan alınmış yaklaşık 0.5 mm3 boyutlarında skleral dokuyu yerleştirerek optik piti kapatmaya çalışmışlardır. PPV sonunda makula altı sıvı drene edilip skleral doku ile optik pit ağzı kapatılmış ve gaz tamponad verilmiştir.
Optik pit alanını kapatmak için öne sürülen bir başka yöntem ise ILM’nin soyulup yerinden ayırmadan OSB etrafında flap haline getirilerek ve OSB üzerine döndürülerek pit üzerine kapatılmasıdır. Bu teknikte standart PPV sonrasında OSB etrafında oluşturulan ILM flapleri ters çevrilerek pit üzerine kapatılmaktadır (inverted flap tekniği). Bu yolla subaraknoid boşluk ile subretinal boşluk arasındaki bağlantının engellenmesi planlanmıştır.
Diğer bir tıkayıcı madde ise otolog fibrin yapıştırıcısıdır. Otolog fibrin yapıştırıcısı kan bankalarında özel cihazlar ile hazırlanabilmektedir. Hastadan sitrat eklenmiş tüpe alınan yaklaşık 120 ml kan ile 5 ml otolog fibrin yapıştırıcısı hazırlanabilmektedir. Fibrin yapıştırıcısı dış ortamda beklememesi gerektiği için operasyon günü alınan kandan hazırlanıp hemen arkasından operasyonda kullanılmaktadır. Otolog fibrin yapıştırcısı ile birlikte koaktivatör (pH10 buffer solüsyonu) kullanılarak tepkime hızlandırılmaktadır (44).
Bu yöntem kliniğimizde kullanılarak dünyada ilk kez tanımlanmış ve literatüre kazandırılmış bir tekniktir(45). Bu tekniği vitrektomiye rağmen nüks eden persistan makuler dekolmanlı olgularda kullanmaktayız. Bu olgularda sıvı hava değişimi sonrası optik sinir başına (OSB) önce bir damla fibrin, ardından bir damla koaktivatör damlatılmakta ve saniyeler içinde fibrin oluşumu görülmektedir. Genellikle OSB dışına taşan fibrin fazlası hava sıvı değişimi sonrası soyulmakta ve sadece OSB üzerindeki kısım bırakılmaktadır. Sonrasında sıvı hava değişimi ile cerrahi sonlandırılmaktadır. Postoperatif OSB OCT kesitlerinde de net olarak fibrin materyali görülebilmektedir.